Cirugía Oral y maxilofacial

Nuestro servicio no solo se ocupa de la estética avanzada, sino de un amplio abanico de patologías que afectan la boca, la cara y el cuello.

Diagnóstico: Diversidad y Riesgo Controlado

Nos centramos en problemas que requieren restauración o prevención de daño:

  • Patología Oral Común: Extracción de Muelas del Juicio (por infecciones, daño o interferencia ortodóncica) y tratamiento de quistes/tumores benignos y frenillos.
  • Riesgos Quirúrgicos: Se planifica la extracción de muelas cercanas a nervios clave para minimizar el riesgo de lesión sensitiva.
  • Oncología y Trauma: Diagnóstico de tumores de la cavidad oral/cuello y evaluación de fracturas faciales y Trastornos de la ATM (dolor, bruxismo).

Tratamientos: Soluciones Avanzadas y Microcirugía

Ofrecemos procedimientos especializados:

  • Muelas del Juicio: Extracción con anestesia local o sedación. Postoperatorio simple (frío, dieta blanda).
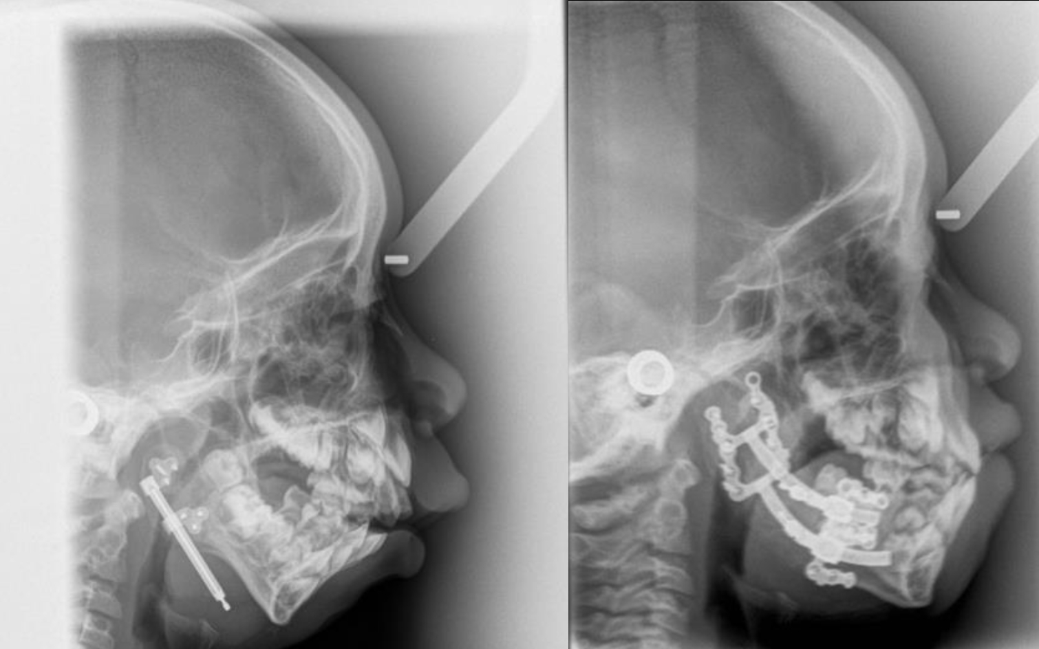
  • Traumatología Facial: Reducción y fijación de fracturas con miniplacas de titanio para restaurar la forma y función.
  • Oncología y Cirugía Reconstructiva: Tras la extirpación del tumor, se realiza reconstrucción simultánea utilizando técnicas microquirúrgicas (trasplante de tejido) para preservar función y estética.
  • Trastornos de la ATM: Abordaje inicial conservador (férulas, fisioterapia). La cirugía se reserva para daño articular severo.

Casos de Éxito: Experiencia que Genera Confianza

Nuestra experiencia abarca desde el control de riesgos en extracciones complejas hasta la ejecución de la microcirugía reconstructiva, garantizando la precisión en la restauración de la función y la preservación de la estética.