Cirugía Ortognática

Diagnóstico: Desequilibrios Esqueléticos Maxilofaciales

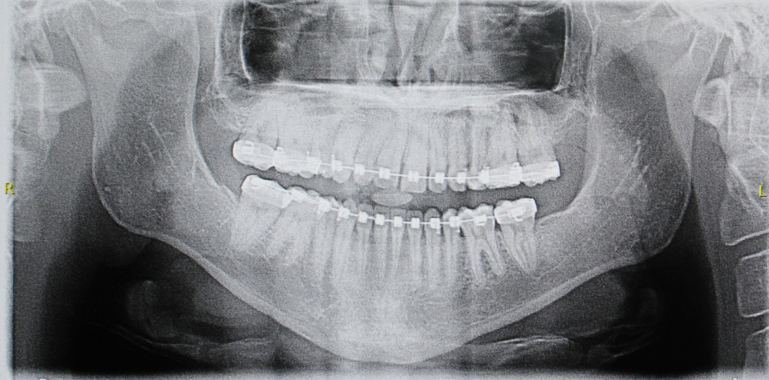
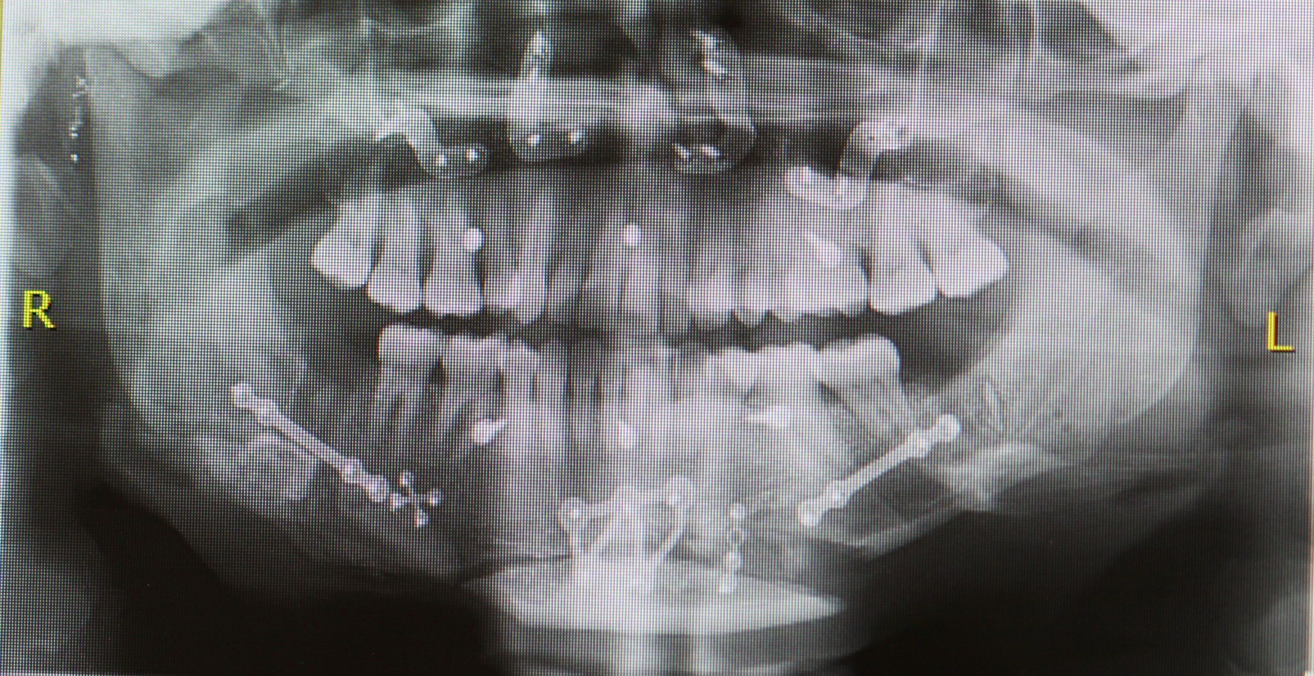
La Cirugía Ortognática reposiciona el maxilar superior y la mandíbula buscando la mejor estética y armonía facial, junto con la correcta función masticatoria, respiratoria y del habla. Se corrigen disarmonías como la Retrusión Mandibular, el Exceso Vertical Maxilar o la Asimetría. Antes de la intervención, se realiza un estudio exhaustivo y una planificación virtual que asegura la precisión del movimiento óseo.

Tratamientos: Reposicionamiento Preciso para una Función Óptima

El tratamiento es coordinado y consta de dos fases:

  • Tratamiento Ortodóncico Previo: Esencial para alinear los dientes y garantizar que la mordida (oclusión) encaje perfectamente tras el movimiento quirúrgico.
  • Intervención Quirúrgica Maxilofacial: Reposicionamiento de los maxilares a la posición ideal, definida en la planificación virtual. Esto logra Armonía Facial y Mejora Funcional. El hueso movilizado se estabiliza con miniplacas de titanio.

Casos de Éxito: Transformación Integral y Calidad de Vida

Nuestros casos de éxito reflejan una mejora sustancial en la calidad de vida, optimizando la función masticatoria y logrando una armonía estética que eleva la autoconfianza.