Implantología e injertos óseos

Diagnóstico: Requisitos para una Rehabilitación Exitosa

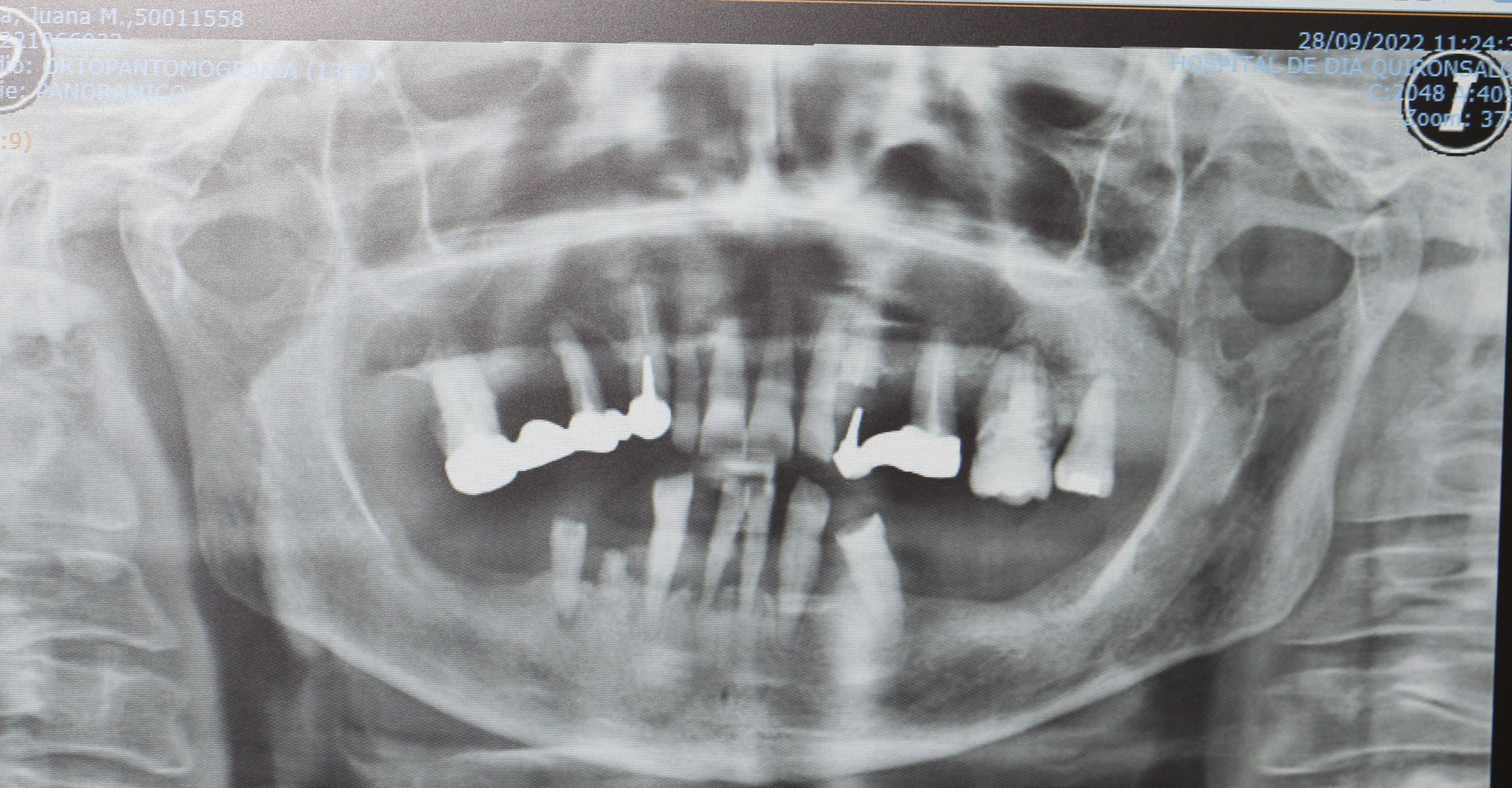
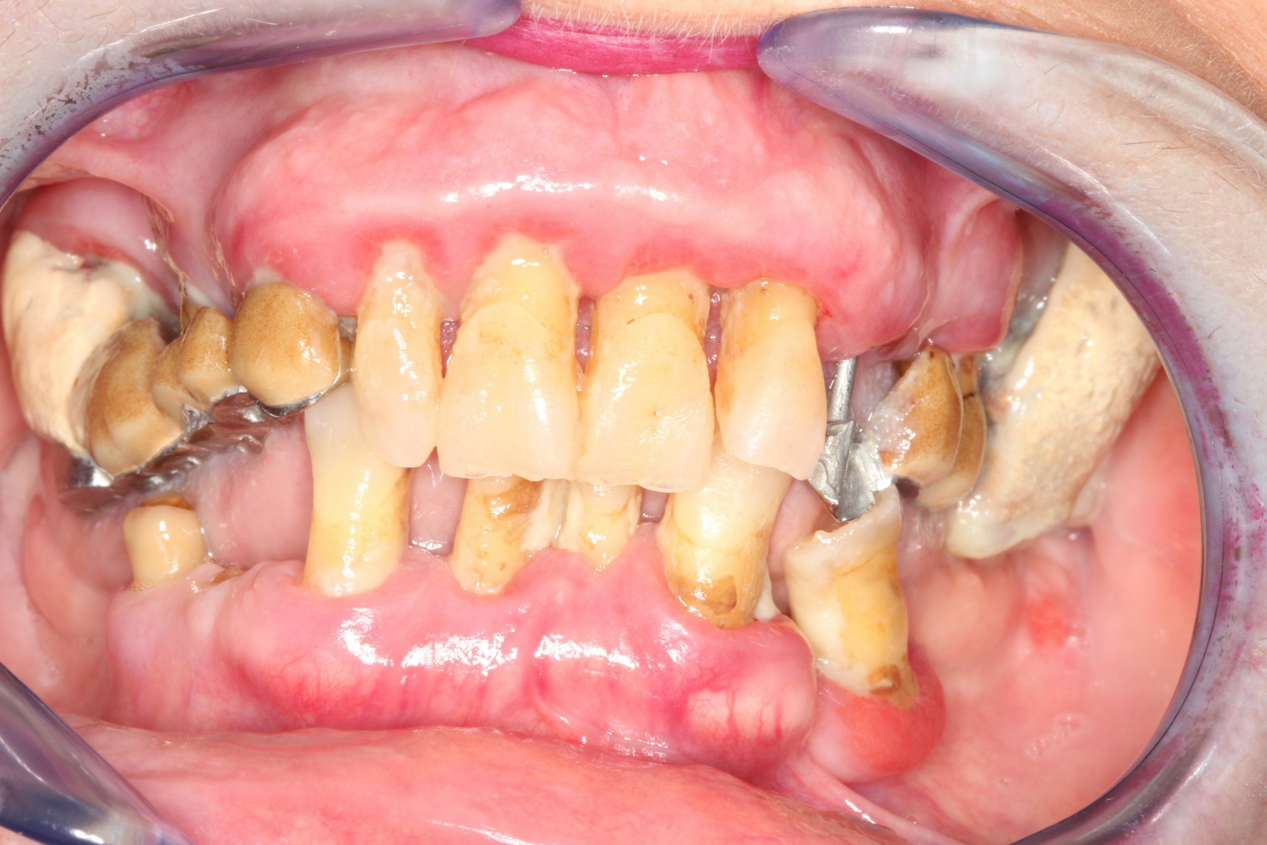
El éxito de la implantología depende de la existencia de hueso adecuado para soportar el implante. La pérdida dental a menudo causa reabsorción ósea. Diagnosticamos Defectos Óseos Parciales o Afecciones Avanzadas y Crónicas que requieren reconstrucción ósea generalizada. La planificación virtual es indispensable.

Tratamientos Avanzados: Soluciones para la Falta de Hueso

Estamos especializados en la regeneración ósea compleja mediante injertos:

  • Injertos de Biomateriales (Artificiales): Para defectos pequeños.
  • Injerto Óseo Autólogo (Hueso Propio): El estándar de oro para pérdidas severas, utilizando hueso de la mandíbula o cadera.

El tratamiento incluye Regeneración Ósea (4-5 meses de espera), Colocación del Implante, Integración Ósea (3-4 meses) y, finalmente, la Corona Protésica.

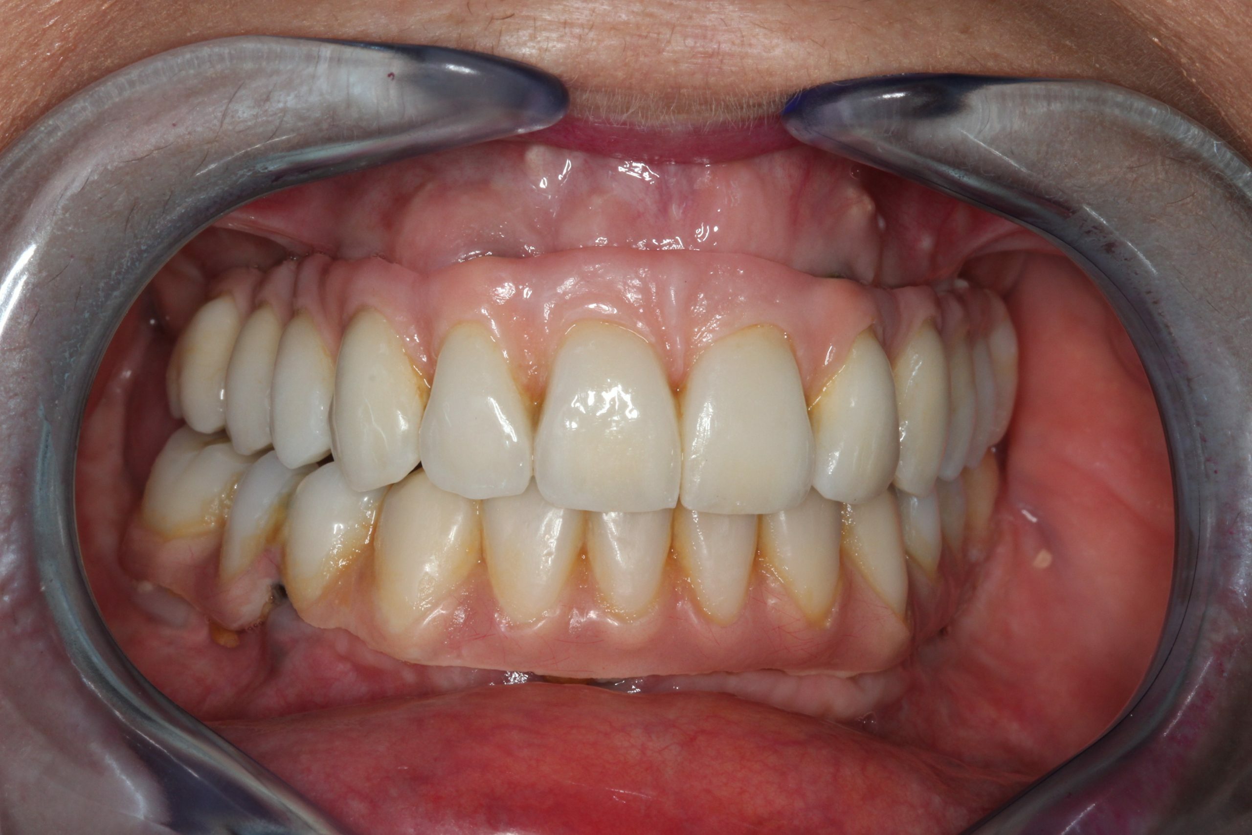
Casos de Éxito: Experiencia que Genera Confianza

Nuestra experiencia se centra en la implantología compleja y la regeneración ósea, logrando rehabilitaciones dentales estables y duraderas con el máximo rigor médico.